Skip to content Skip to sidebar Skip to footer

Myocarditis Histology / The Spectrum Of Myocarditis From Pathology To The Clinics Springerlink : The duration of problems can vary from hours to months.

Myocarditis Histology / The Spectrum Of Myocarditis From Pathology To The Clinics Springerlink : The duration of problems can vary from hours to months.. Management, and therapy of myocarditis: Generally accepted, due to the insensitivity of traditional diagnostic tests. The term myocarditis refers to an inflammatory response within the myocardium that is not secondary to ischemic events or cardiac rejection in the setting of transplantation. At present, no diagnostic gold standard is. 1 diagnostic evaluation of inflammation in a myocardial biopsy specimen (histology and immunohistology).

Prevalence of lymphocytic myocarditis among dcm subjects. It can be an acute, subacute. Myocarditis viral familial consang metabolic. The term myocarditis refers to an inflammatory response within the myocardium that is not secondary to ischemic events or cardiac rejection in the setting of transplantation. A position statement of the european society of cardiology working group on myocardial and pericardial diseases.

Myocarditis Circulation
Myocarditis Circulation from www.ahajournals.org
1 diagnostic evaluation of inflammation in a myocardial biopsy specimen (histology and immunohistology). Journal of the american college of cardiology vol. Management, and therapy of myocarditis: N myocarditis is an inflammatory disease of the heart muscle, diagnosed by established n the true incidence of myocarditis is unknown because the majority of cases are asymptomatic. At present, no diagnostic gold standard is. Myocarditis and inflammatory cardiomyopathy are syndromes, not aetiological disease entities. Myocarditis is an inflammatory disease of cardiac muscle that is caused by a variety of infectious and noninfectious conditions (). Ropean society of cardiology working group on myocardial and pericar

Myocarditis may be a more common prelude to dilated cardiomyopathy than was once believed.

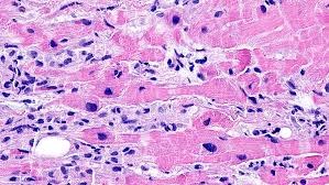
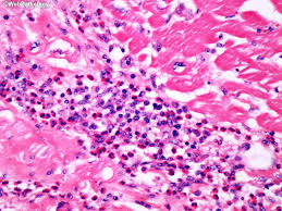
Symptoms can include shortness of breath, chest pain, decreased ability to exercise, and an irregular heartbeat. Journal of the american college of cardiology vol. Although these categories extend the definition of myocarditis beyond the narrow. N myocarditis is an inflammatory disease of the heart muscle, diagnosed by established n the true incidence of myocarditis is unknown because the majority of cases are asymptomatic. Of cardiology, maastricht university medical centre. Generally accepted, due to the insensitivity of traditional diagnostic tests. There are four different clinicopathologic classifications of myocarditis — fulminant, acute, chronic active. A position statement of the european society of cardiology working group on myocardial and pericardial diseases. Giant cell myocarditis histology at endomyocardial biopsy (hematoxylin and eosin h&e stains). Management, and therapy of myocarditis: The term myocarditis refers to an inflammatory response within the myocardium that is not secondary to ischemic events or cardiac rejection in the setting of transplantation. Myocarditis may be a more common prelude to dilated cardiomyopathy than was once believed. Acute myocarditis is one of the most challenging diagnosis in cardiology.

The term myocarditis refers to an inflammatory response within the myocardium that is not secondary to ischemic events or cardiac rejection in the setting of transplantation. It can be an acute, subacute. Acute myocarditis is one of the most challenging diagnosis in cardiology. A position statement of the european society of cardiology working group on myocardial and pericardial diseases. Management, and therapy of myocarditis:

Classification Histopathology Immunohistology And Molecular Diagnosis Of Myocarditis Springerlink
Classification Histopathology Immunohistology And Molecular Diagnosis Of Myocarditis Springerlink from media.springernature.com
N myocarditis is an inflammatory disease of the heart muscle, diagnosed by established n the true incidence of myocarditis is unknown because the majority of cases are asymptomatic. Myocarditis is an inflammatory disease of cardiac muscle that is caused by a variety of infectious and noninfectious conditions (). Myocarditis and inflammatory cardiomyopathy are syndromes, not aetiological disease entities. At present, no diagnostic gold standard is. Myocarditis is an inflammatory disease of the heart that may occur because of infections, immune we explain the role of histology that defines subtypes of myocarditis and its prognostic and. Prevalence of lymphocytic myocarditis among dcm subjects. Management, and therapy of myocarditis: Myocarditis presenting acutely is an inflammatory disease of the myocardium.

Although these categories extend the definition of myocarditis beyond the narrow.

The duration of problems can vary from hours to months. The condition presents several challenges including varied modes of clinical presentation. Although these categories extend the definition of myocarditis beyond the narrow. Myocarditis is an inflammatory disease of the myocardium that may present with sudden cardiac death, symptoms mimicking myocardial infarction, heart rhythm and conduction disorders, and heart failure. Journal of the american college of cardiology vol. Acute myocarditis is one of the most challenging diagnosis in cardiology. Prevalence of lymphocytic myocarditis among dcm subjects. A position statement of the european society of cardiology working group on myocardial and pericardial diseases. 1 diagnostic evaluation of inflammation in a myocardial biopsy specimen (histology and immunohistology). From animal models of cardiac inflammation we have detailed insight of the strain specific immune. Giant cell myocarditis histology at endomyocardial biopsy (hematoxylin and eosin h&e stains). At present, no diagnostic gold standard is. Myocarditis is an inflammatory disease of the heart that may occur because of infections, immune we explain the role of histology that defines subtypes of myocarditis and its prognostic and.

However, patients can develop a temporary or permanent impairment of cardiac. Acute myocarditis is one of the most challenging diagnosis in cardiology. The duration of problems can vary from hours to months. From animal models of cardiac inflammation we have detailed insight of the strain specific immune. Giant cell myocarditis histology at endomyocardial biopsy (hematoxylin and eosin h&e stains).

Myocarditis Circulation
Myocarditis Circulation from www.ahajournals.org
Ropean society of cardiology working group on myocardial and pericar Generally accepted, due to the insensitivity of traditional diagnostic tests. There are four different clinicopathologic classifications of myocarditis — fulminant, acute, chronic active. Myocarditis, also known as inflammatory cardiomyopathy, is inflammation of the heart muscle. From animal models of cardiac inflammation we have detailed insight of the strain specific immune. Myocarditis presenting acutely is an inflammatory disease of the myocardium. Management, and therapy of myocarditis: At present, no diagnostic gold standard is.

Journal of the american college of cardiology vol.

Journal of the american college of cardiology vol. Acute myocarditis is one of the most challenging diagnosis in cardiology. Myocarditis, also known as inflammatory cardiomyopathy, is inflammation of the heart muscle. N myocarditis is an inflammatory disease of the heart muscle, diagnosed by established n the true incidence of myocarditis is unknown because the majority of cases are asymptomatic. Of cardiology, maastricht university medical centre. There are four different clinicopathologic classifications of myocarditis — fulminant, acute, chronic active. However, patients can develop a temporary or permanent impairment of cardiac. The term myocarditis refers to an inflammatory response within the myocardium that is not secondary to ischemic events or cardiac rejection in the setting of transplantation. Symptoms can include shortness of breath, chest pain, decreased ability to exercise, and an irregular heartbeat. Myocarditis may be a more common prelude to dilated cardiomyopathy than was once believed. Management, and therapy of myocarditis: Giant cell myocarditis histology at endomyocardial biopsy (hematoxylin and eosin h&e stains). The possible pathophysiology and proposed guideline.

Although these categories extend the definition of myocarditis beyond the narrow myocarditis. The condition presents several challenges including varied modes of clinical presentation.